CHIRURGIE DU DOS GENEVE

Tel: +41 22 347 67 40
Fax: +41 22 347 67 42

LA HERNIE DISCALE

La hernie discale est une lésion provenant d'une dégénérescence d'une partie d'un disque intervertébral. En général, il y a une ouverture de l'anneau fibreux qui laisse sortir une partie du noyau pulpeux (mou) du disque intervertébral. Le fragment de disque mou s'échappe dans le canal rachidien et vient comprimer un nerf spinal. La compression et irritation du nerf provoque les douleurs de type "sciatique".

Symptômes

Classiquement c'est la douleur qui descend le long de la jambe jusqu'au pieds qui est la caractéristique de la sciatique et reflète l'irritation du nerf coincé par la hernie discale. Si le nerf est très comprimé il peut s'en suivre un déficit neurologique, soit une perte de sensibilité soit un déficit de la force musculaire du pieds

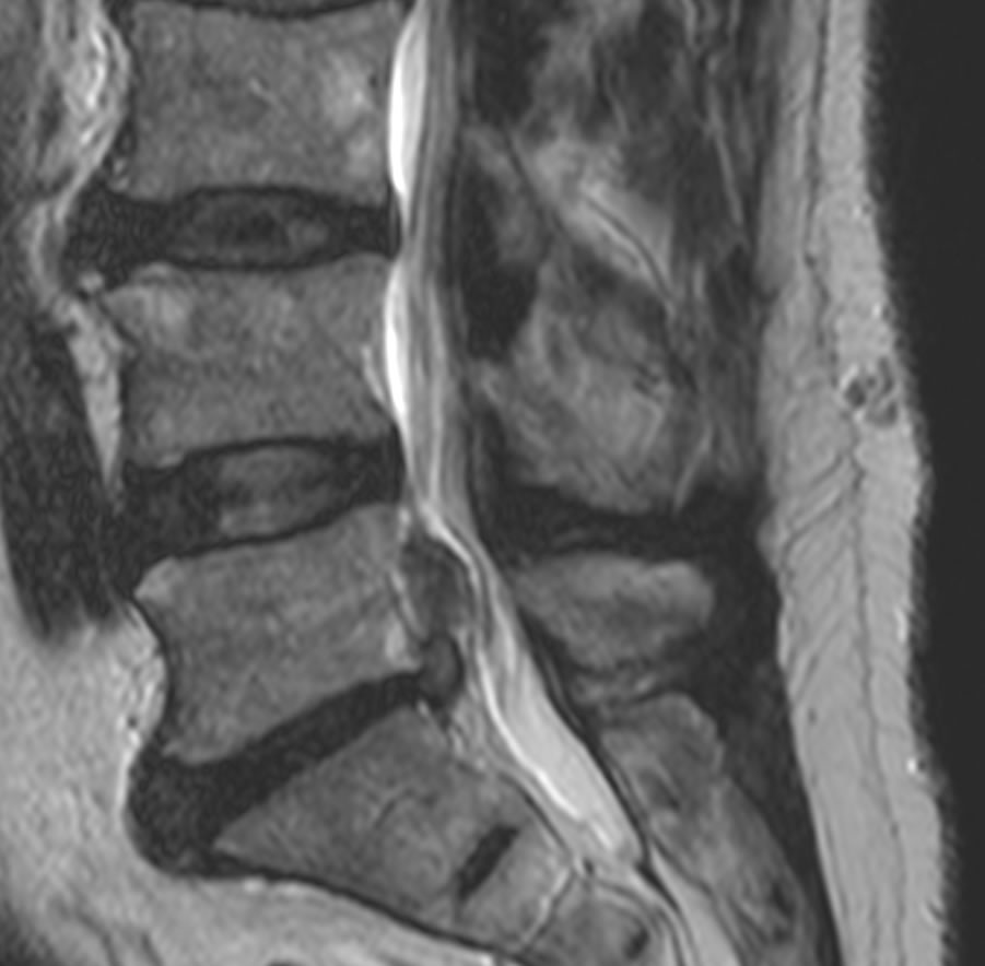
Investigations

L'investigation principale est l'IRM de la colonne soit lombaire pour les hernies discales lombaire ou cervicale pour les hernies cervicales. Parfois il est utile de faire un éléctroneuromyogramme (ENMG) qui permet d'évaluer le degré d'atteinte de la conduction nerveuse.

Taitement de la hernie discale

Lorsque le traitement conservateur a échoué, la chirurgie permet de "décoincé" le nerf en réséquant la partie du disque qui comprime le nerf. Cette chirurgie se pratique sous anesthésie général et par technique micro-chirurgicale sous microscope pour être le moins invasif possible.
La chirurgie de hernie discale est effectuée par une toute petite incision cutanée dans le dos. L'opération se pratique sous microscope cee qui permet l'identification parfatie des strucutre nerveuse et surtout de la relation entre la hernie discale et le nerf coincé. Parfois les fragment de hernie discale sont adherant à la racine nerveuse et il faut les libérer très délicatement. Parfois aussi lorsque la hernie est présente depuis longtemps les fragements de hernie comprimant le nerf peuvent être très dure et en partie calcifié, d'où l'importante d'une résection chirugicale pour être sûr d'avoir bien visualisé la racine sous microscope et qu'elle soit bien libre.

* cette video ne représente qu'un exemple de chirurgie et ne s'applique pas à tous les cas

* toute information medicale contenue sur cette page web n'est pas exhaustive et ne remplace pas une consultation chez un medecin.